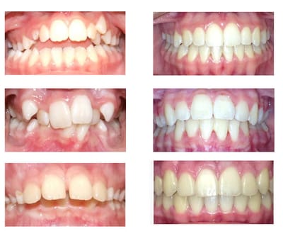
Vital Benefits of Orthodontics Kendall FL | Kendall Deals

When it comes to skin care, aesthetics medicines seems to be an integral constituent which deals with the composition of the skin as well as beneficial beauty products.

Read More  
Must – know benefits of Evinrude Service Kendall

With an Evinrude service Kendall, you will use up a lot less at the pump because you will burn up to fifty percent less fuel than the leading four-stroke. That means more money in your pocket as well as more time on the water.

Read More  
4 Great Benefits of installing Glass shower Doors Miami

Are you bored of your vintage bathroom and wish to give it a new look? Well, installing glass shower doors Miami would be an attractive way to give your bathroom a new, stylish look without remodeling the whole space.

Read More  
I BUILT MY SITE FOR FREE USING